双肺全白,抢救12天!医生提醒:很像感冒,千万别硬扛
2025-04-19 13:34
来源:国家应急广播 惠州疾控央视新闻客户端 深圳卫健委 新闻晨报
近期
广东惠州一名中年女性
因持续高热、气喘被紧急送医
双肺全白,生命危在旦夕
经过12天的抢救才脱离危险
而这一切
竟与家中的鹦鹉有关
经医院证实
这场疾病的元凶是“鹦鹉热”

无独有偶
武汉市民陈女士4月初出现不适
以为是感冒
自行服用消炎药、抗病毒药

医生在为患者查房。通讯员周珊摄

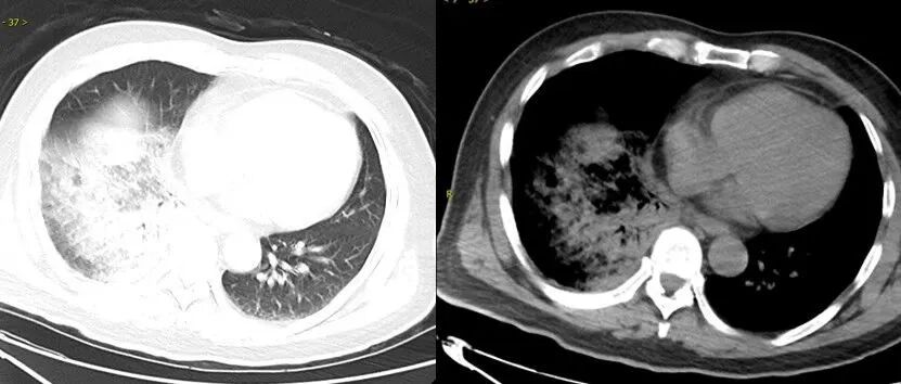
鹦鹉热衣原体肺炎影像示例。图源:江苏省人民医院

声明:所有来源为“姚界客户端”和“余姚新闻网”的内容信息,未经本网许可,不得转载!已经本网协议授权的媒体、网站,在下载使用时必须注明“稿件来源:余姚新闻网”,违者本网将依法追究责任。本网转载的其他文字、图片、音视频等信息,内容均来源于网络,并不代表本网观点,其版权归原作者所有。如果您发现本网转载信息侵害了您的权益,请与我们联系:0574-62735052,我们将及时核实处理。
相关阅读

